- 
        
      	
Menschliche Zelle, Überblick
       
      - 
        
      	
Phospholipide
       
      - 
        
      	
Monolayer
       
      - 
        
      	
Phospholipide
       
      - 
        
      	
Plasmamembran
       
      - 
        
      	
Zell-Zell-Membran
       
      - 
        
      	
Zellpolarität
       
      - 
        
      	
Zonula adhaerens
       
      - 
        
      	
Desmosomen
       
      - 
        
      	
Nexus
       
      - 
        
      	
Darmepithel mit Schlussleisten
       
      - 
        
      	
Hemidesmosom
       
      - 
        
      	
Fokaler Kontakt
       
      - 
        
      	
Intrazelluläre Anordnung des Zytoskeletts
       
      - 
        
      	
Neurotubuli
       
      - 
        
      	
Mikrotubuli
       
      - 
        
      	
Zilien
       
      - 
        
      	
Zytoskelett der Erythrozyten
       
      - 
        
      	
Zellkern
       
      - 
        
      	
Mitochondrium a) Cristae-Typ b) Tubulus-Typ
       
      - 
        
      	
Endoplasmatisches Retikulum
       
      - 
        
      	
Ribosom und Signalpeptid
       
      - 
        
      	
Ribosom und SRP
       
      - 
        
      	
Ribosom und Translocon
       
      - 
        
      	
Fertigstellung des Polypeptids
       
      - 
        
      	
Golgi-Apparat
       
      - 
        
      	
Rezeptorvermittelte Endozytose
       
      - 
        
      	
Lysosomen
       
      - 
        
      	
Zellzyklus
       
      - 
        
      	
S-Phase
       
      - 
        
      	
Regulation der cyclinabhängigen Kinase 1 (CDK1)
       
      - 
        
      	
Mitosestadien
       
      - 
        
      	
Nährmittelentzug
       
      - 
        
      	
Normale Kultur
       
      - 
        
      	
Meiose
       
      - 
        
      	
Spermium
       
      - 
        
      	
Hypertrophie, Atrophie, Hyperplasie und Metaplasie
       
      - 
        
      	
Die vier Phasen der Apoptose
       
      - 
        
      	
Fluss der genetischen Information
       
      - 
        
      	
DNA-Doppelhelix
       
      - 
        
      	
Code-Sonne
       
      - 
        
      	
Replikation
       
      - 
        
      	
Exzisionsreparatur
       
      - 
        
      	
Transkription
       
      - 
        
      	
DNA/mRNA
       
      - 
        
      	
Translation
       
      - 
        
      	
Chromosomen-Spiralisation
       
      - 
        
      	
Histonproteine
       
      - 
        
      	
Chromosomen-Morphologie
       
      - 
        
      	
Normaler weiblicher Karyotyp
       
      - 
        
      	
Normaler männlicher Karyotyp
       
      - 
        
      	
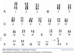
Turner-Syndrom: Es gibt 44 Autosomen, aber nur ein Gonosom (= 1 X-Chromosom)
       
      - 
        
      	
Translokation
       
      - 
        
      	
Mitosestadien
       
      - 
        
      	
Tertiärfollikel