• Replikation

  • Zellzyklus

  • S-Phase

  • Regulation der Cyclin-abhängigen Kinase 1 (CDK1)

  • Mitosestadien

  • Nährmediumentzug

  • Normale Kultur

  • Meiose

  • Spermium

  • Hypertrophie, Atrophie, Hyperplasie und Metaplasie

  • Die vier Phasen der Apoptose

  • Fluss der genetischen Information

  • DNA-Doppelhelix

  • Code-Sonne

  • Lysosomen

  • Exzisionsreparatu

  • Transkription

  • DNA/mRNA

  • Translation

  • Chromosomen-Spiralisation

  • Histonproteine

  • Chromosomen-Morphologie

  • Normaler weiblicher Karyotyp

  • Normaler männlicher Karyotyp

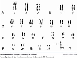
  • Turner-Syndrom: Es gibt 44 Autosomen, aber nur ein Gonosom (= 1 X-Chromosom)

  • Translokation

  • Mitosestadien

  • Tertiärfollikel

  • Mikrotubuli

  • Phospholipide

  • Monolayer

  • Bilayer

  • Plasmamembran

  • Zell-Zell-Kontakte

  • Zellpolarität

  • Zonula adhaerens

  • Desmosomen

  • Nexus

  • Darmepithel mit Schlussleisten

  • Hemidesmosom

  • Fokaler Kontakt

  • Intrazelluläre Anordnung des Zytoskeletts

  • Menschliche Zelle, Überblick

  • Neurotubuli

  • Zilien

  • Zytoskelett der Erythrozyten

  • Zellkern

  • Mitochondrium a) Cristae-Typ b) Tubulus-Typ

  • Endoplasmatisches Retikulum

  • Ribosom und Signalpeptid

  • Ribosom und SRP

  • Ribosom auf Translocon

  • Fertigstellung des Polypeptids

  • Golgi-Apparat

  • Rezeptorvermittelte Endozytose

Aufteilung nach Themen

Mathe/Physik

Die Webseite von MEDI-LEARN wird unterstützt von.

     © MEDI-LEARN 1996-2026