• Muskelspindel quer

  • EM-Bild von gefl echtartigem kollagenen Bindegewebe © IMPP

  • Weißes Fettgewebe

  • Bandscheibe (Discus intervertebralis) © IMPP

  • Knochenbälkchen

  • Osteoklast

  • Lamellenknochen

  • Schnitt durch die Substantia compacta

  • Enchondrale Verknöcherung

  • EM-Bild einer Muskelzelle

  • Plasmalemm einer Muskelzelle = Sarkolemm

  • Muskelspindel längs

  • Elastische Fasern der Lunge (verstärken die Retraktion der Lunge und sind im Präparat rechts dunkel gefärbt). © IMPP

  • Glatte Muskelzellen

  • Spines an den Dendriten eines Neurons © IMPP

  • Schematischer Aufbau einer Nervenzelle

  • Klassifikation von Nervenzellen

  • Axonscheide

  • Markhaltige periphere Nervenfaser, Längsschnitt

  • Marklose periphere Nervenfaser, Querschnitt

  • Pseudounipolare Nervenzellen im Spinalganglion

  • Autonomes Ganglion © IMPP

  • Lipofuszin in der Leber

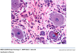
  • Lipofuszin im Neuron

  • Einschichtig isoprismatisches Epithel

  • Mikrotubuli mit 9 · 2 + 2-Struktur © IMPP

  • GFAP-Färbung von Astrozyten an Gehirnkapillaren

  • Gap Junctions

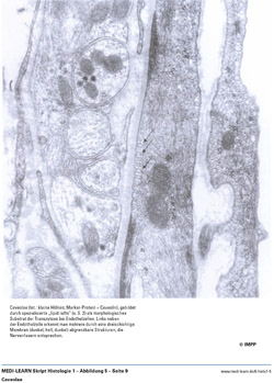
  • Caveolae © IMPP

  • Bürstensaum aus Mikrovilli auf Duodenalzellen © IMPP

  • Stereozilien auf Nebenhodenzellen

  • Kinozilien in der Trachea © IMPP

  • Oberlieblingszellskizze

  • Basalmembran

  • Epithelklassifikation

  • Einschichtig plattes Epithel

  • EM-Bild Zellorganellen © IMPP

  • Einschichtiges hochprismatisches Epithel

  • Mehrreihiges Epithel

  • Mehrschichtig plattes unverhorntes Epithel

  • Übergangsepithel im entspannten Zustand

  • Übergangsepithel im gedehnten Zustand

  • Merokrine Zellen

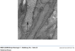
  • Holokrine Drüsen

  • Holokrine Drüse

  • Apokrine Zellen

  • Rein seröse Drüse © IMPP

  • Mastzelle in der Lamina propria der Trachea © IMPP

Aufteilung nach Themen

Mathe/Physik

Die Webseite von MEDI-LEARN wird unterstützt von.

     © MEDI-LEARN 1996-2026