• Pylorusregion

  • Eizellreifung

  • Tuba ovarii

  • Zyklus

  • Proliferationsphase I

  • Proliferationsphase II

  • Sekretionsphase

  • Vagina

  • Querschnitt Plazenta Tertiärzotten

  • Längsschnitt Plazenta Tertiärzotten

  • Nebennierenrinde, Zonengliederung

  • Belegzellen des Magens

  • Pylorusregion

  • Prostata mit typischem Stein

  • Darmkrypten

  • Jejunum

  • Dickdarmzotte

  • Pankreas

  • Langerhans-Insel

  • Trias hepatica

  • Elektronenmikroskopische Aufnahme einer Leberzelle

  • Ureter

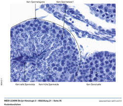
  • Hodenkanälchen

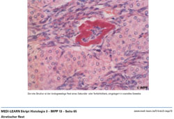
  • Atretischer Rest

  • Tertiärzotte einer Plazenta

  • Schnitt durch Tertiärzotten (Endzotten)

  • Pankreas mit Schaltstück + Insula (heller)

  • Ösophagus

  • Magenschleimhaut und Pylorus

  • Foveolae gastricae

  • Magenzellen

  • Duodenum

  • Duodenalzotten vergrößert

  • Elektronenmikroskopische Aufnahme von Darmzotten © IMPP

  • Längsschnitt Darmzotten

  • Längsschnitt Darmkrypte + Zotte

  • Längsschnitt Colon

  • Kryptenquerschnitt Co

  • Kolonkrypten (Längsschnitt)

  • Wandschichten des Darmtrakts

  • Trias hepatica = Glisson-Trias

  • Mikroskopisches Bild der Leber

  • Lebersinusoide und Kupffer-Sternzellen

  • Glomerulum

  • Glomerulum in Toluidinblaufärbung

  • EM-Aufnahme, Ausschnitt aus Glomerulum © IMPP

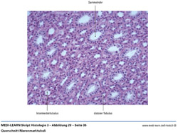
  • Querschnitt Nierenmarktubuli

  • Hodenkanälchen

  • Regelkreis LH/FSH

  • Spermatogenese

  • Typischer Aufbau eines reifen Spermiums (Spermatozoon)

  • Nebenhoden

Aufteilung nach Themen

Mathe/Physik

Die Webseite von MEDI-LEARN wird unterstützt von.

     © MEDI-LEARN 1996-2026