• Schnitt durch die V. brachialis

  • Kleinhirn Purkinjezellen

  • Schichten und Verschaltung der Zelltypen im Kleinhirn

  • Isokortex Projektionsneurone

  • Isokortex

  • Leistenhaut

  • Vater-Pacini-Körperchen

  • Elektronenmikroskopische Aufnahme Anhang einer Alveole

  • Lunge

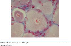
  • Spinalganglienzelle

  • Megakaryozyt

  • Lymphknoten

  • Ausschnitt aus einem Lymphknoten

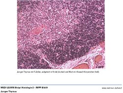
  • Junger Thymus

  • Cornea

  • Querschnitt durch das Rückenmark in der Klüver-Barrera-Färbung

  • Isokortex

  • Hautschichten

  • Rückenmark embryonal

  • Cochlea

  • Retinaschichten

  • Thymus alt

  • Thymus jung

  • Milzfollikel

  • Milz

  • Lymphknoten

  • Blutzellen im Mikroskop

  • Hämatopoese

  • Histologie der Alveolen und Blut-Luft-Schranke

  • Ductus alveolaris

  • Bronchus

  • Trachea

  • Hautschichten

Aufteilung nach Themen

Mathe/Physik

Die Webseite von MEDI-LEARN wird unterstützt von.

     © MEDI-LEARN 1996-2026