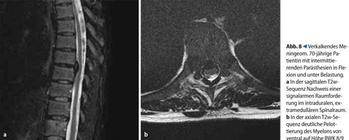
Sie besitzt die höchste Sensitivität zum Nachweis tumoröser und entzündlicher Prozesse und wird zur Klärung von Ausbreitung und Beziehung fraglicher Raumforderungen zu den intraspinalen Strukturen eingesetzt als auch zum Staging und zu Verlaufskontrollen primärer Wirbelsäulentumoren. Eine Zuordnung der intraspinalen Raumforderung zu einem der drei Kompartimente extradural, intradural-extramedullär oder intradural-intramedullärwird in der Regel erst durch die MRT ermöglicht (s.Tab. 4,. Abb. 7, 8).
Fazit für die Praxis
Die Diagnostik der Wirbelsäule folgt einem Stufenschema.
- Konventionelle Röntgenaufnahmen dienen als Basisdiagnostik.
- Die CT eignet sich hervorragend zur Beurteilung knöcherner Strukturen und nimmt eine wichtige Rolle in der Akut- und Notfalldiagnostik ein.
- Die MRT ist das Verfahren mit dem höchsten Weichteilkontrast und Methodeder Wahl bei der Beurteilungdes Myelon, von Tumoren, entzündlichen Prozessen und der Detektion diskoligamentärer Läsionen.
- Nuklearmedizinische Untersuchungsmethoden sind Screeningverfahren mit hoher Sensitivität und werden mit morphologischen Verfahren, wieder CT und MRT kombiniert.
Hinweis: Dieser Artikel stammt aus dem ePaper "Highlights der Inneren Medizin", das komplett mit vielen weiteren Artikeln hier verfügbar ist. Wir danken dem Springer-Verlag für die Unterstützung.
|
Sichere dir dein persönliches Gratis Test-Abo über 3 Ausgaben "Der Chirurg" vom Springer Medizin Verlag
|
 |
Stelle die neue E-Paper Reihe vom Springer Medizin Verlag auf den Prüfstand – sichere dir noch heute dein Gratis-Test-Abo und lass dich in Form von jeweils 3 Ausgaben in der jeweiligen Fachrichtung umfassend informieren.
Du erhältst gratis jeden kommenden Monat eine Ausgabe des E-Papers „Der Chirurg“, welche dir einen perfekten Einstieg garantieren!
Jetzt testen!
|
|
[Ja, ich möchte 3 Ausgaben "Der Chirurg"]
[Jetzt gratis testen - klick hier]
|